- Anasayfa
- Haftanın Olgusu
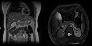
- Sağ üst kadran ağrısı ile başvuran hastanın üst batın…
Sağ üst kadran ağrısı ile başvuran hastanın üst batın…
SORU: Sağ üst kadran ağrısı ile başvuran hastanın üst batın MR’ı görülmektedir.
Bu hastada en olası tanı aşağıdakilerden hangisidir?
8.594 görüntüleme

